Zirkonyum Kaplama ile Estetik ve Sağlıklı Dişlere Kavuşun

Diş estetiği, hem fiziksel görünümümüz hem de kendimize olan güvenimiz üzerinde büyük bir etkiye sahiptir. Diş yapısındaki bozukluklar, renk değişimleri veya eksik dişler, bireylerin gülümseme isteğini azaltabilir. Ancak, modern diş hekimliğinin sunduğu çözümler sayesinde bu sorunların üstesinden gelmek artık çok daha kolay. Bu çözümlerden biri de zirkonyum kaplamadır. Zirkonyum, hem estetik hem de dayanıklılık açısından diş kaplama tedavilerinde devrim yaratan bir malzeme olarak öne çıkıyor. Peki, zirkonyum kaplama nedir, nasıl uygulanır ve hangi avantajları sunar? İşte bu konuyla ilgili tüm detaylar!


Zirkonyum Kaplama Nedir?

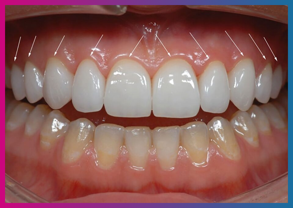
Zirkonyum kaplama, dişlerin doğal yapısını taklit eden, estetik görünümlü ve dayanıklı bir diş kaplama yöntemidir. Ana malzemesi zirkonyum dioksit olan bu kaplama, metal destekli porselen kaplamalara göre daha doğal bir görünüm sunar. Metal içermez, bu da hem estetik hem de biyolojik uyumluluk açısından önemli bir avantaj sağlar. Özellikle ön diş estetiğinde sıklıkla tercih edilen zirkonyum kaplama, dişlerinize doğal bir parlaklık ve renk sunarak sağlıklı bir gülüşe kavuşmanızı sağlar.


Zirkonyum Kaplama Hangi Durumlarda Kullanılır?

Zirkonyum kaplama, birçok diş sorununun tedavisinde tercih edilen bir yöntemdir. İşte en yaygın kullanım alanları:

  1. Estetik Kaygılar: Diş rengi değişimlerini veya diş şekil bozukluklarını düzeltmek için ideal bir çözümdür.
  2. Çürük ve Hasarlı Dişler: Büyük çürükler veya kırılmalar sonucu diş yapısının korunması gerektiğinde kullanılır.
  3. Eksik Dişlerin Tamamlanması: Diş implantları üzerine zirkonyum kaplama uygulanabilir.
  4. Diş Arası Boşlukların Kapatılması: Dişlerin arasındaki boşlukların kapatılması için estetik bir yöntemdir.
  5. Metal Alerjisi Olanlar: Metal içermez, bu nedenle metal alerjisi olan hastalar için güvenli bir seçenektir.

Zirkonyum Kaplama Nasıl Uygulanır?

Zirkonyum kaplama tedavi süreci, genellikle 2-3 seansta tamamlanır. İşte adım adım zirkonyum kaplama işlemi:

  1. Muayene ve Planlama:
    Diş hekimi, dişlerin genel durumunu değerlendirir ve tedavi planını oluşturur. Bu aşamada, hastanın ihtiyaçları ve beklentileri göz önünde bulundurulur.

  2. Diş Hazırlığı:
    Kaplamanın uygulanacağı diş, hafifçe törpülenerek şekillendirilir. Dişlerin uygun boyuta getirilmesi, kaplamanın mükemmel bir şekilde oturması için önemlidir.

  3. Ölçü Alınması:
    Hazırlanan dişlerin ölçüsü alınır ve laboratuvara gönderilir. Laboratuvarda, hastanın diş rengine ve şekline uygun olarak zirkonyum kaplama üretilir.

  4. Geçici Kaplama:
    Laboratuvar süreci tamamlanana kadar hastanın dişlerini korumak için geçici bir kaplama uygulanır.

  5. Kaplamanın Yerleştirilmesi:
    Özel yapıştırıcılarla zirkonyum kaplama dişe sabitlenir. Uyum ve estetik görünüm kontrol edildikten sonra işlem tamamlanır.


Zirkonyum Kaplamanın Avantajları

Zirkonyum kaplama, estetik ve sağlık açısından birçok avantaj sunar. İşte bu yöntemin öne çıkan özellikleri:

  1. Doğal Görünüm:
    Zirkonyum kaplamalar, ışık geçirgenliği sayesinde doğal diş görünümüne en yakın kaplama türlerinden biridir. Bu özellik, özellikle ön dişlerde büyük bir estetik avantaj sağlar.

  2. Dayanıklılık:
    Zirkonyum, oldukça dayanıklı bir malzemedir. Çiğneme kuvvetlerine karşı dirençlidir ve uzun yıllar boyunca kullanılabilir.

  3. Biyolojik Uyumluluk:
    Zirkonyum kaplamalar, vücut dokularıyla uyumludur. Diş eti hassasiyeti veya alerji riskini minimize eder.

  4. Metal İçermeme:
    Metal destekli kaplamaların aksine, zirkonyum kaplamalarda gri renklenme görülmez. Bu, özellikle diş eti çizgisinde estetik bir avantaj sağlar.

  5. Lekelenme ve Renk Değişimine Dayanıklılık:
    Zirkonyum kaplamalar, yüzey yapısı sayesinde lekelenmelere ve renk değişimlerine karşı dirençlidir. Kahve, çay veya sigara kullanımına rağmen beyazlığını korur.


Zirkonyum Kaplama ile İlgili Sık Sorulan Sorular

1. Zirkonyum kaplama ağrılı bir işlem midir?
Hayır, işlem sırasında lokal anestezi uygulanır ve hasta herhangi bir ağrı hissetmez. İşlem sonrasında hafif bir hassasiyet oluşabilir, ancak bu kısa sürede geçer.

2. Zirkonyum kaplama ne kadar süre dayanır?
Doğru bakım ve düzenli diş hekimi kontrolleri ile zirkonyum kaplamalar 10-15 yıl veya daha uzun süre kullanılabilir.

3. Zirkonyum kaplama kimler için uygundur?
Hemen hemen herkes için uygundur. Özellikle estetik kaygıları olan, metal alerjisi bulunan veya dişlerinde ciddi renk değişimi olan kişiler için ideal bir çözümdür.


Zirkonyum Kaplama Sonrası Nelere Dikkat Edilmelidir?

Zirkonyum kaplamaların uzun ömürlü olması için aşağıdaki bakım önerilerine dikkat edilmelidir:

  • Günde en az iki kez dişlerinizi fırçalayın ve diş ipi kullanın.
  • Sert yiyecekleri ısırmaktan kaçının.
  • Çay, kahve ve sigara tüketimini sınırlayarak kaplamalarınızın parlaklığını koruyabilirsiniz.
  • Düzenli olarak diş hekimi kontrolüne gidin.

Sonuç

Zirkonyum kaplama, estetik ve fonksiyonel açıdan mükemmel bir diş tedavi yöntemidir. Doğal görünümü, dayanıklılığı ve uzun ömürlülüğü sayesinde sağlıklı ve estetik bir gülüşe kavuşmanızı sağlar. Eğer diş estetiğiyle ilgili kaygılarınız varsa, zirkonyum kaplama sizin için doğru bir çözüm olabilir.

Siz de sağlıklı ve estetik bir gülüşe sahip olmak için Çukurova Mega Ağız ve Diş Sağlığı Polikliniği’ni tercih edin!
Deneyimli diş hekimlerimiz ve modern teknolojimizle size en iyi hizmeti sunmaktan mutluluk duyarız. Randevu almak için hemen bizimle iletişime geçin!

Diş Beyazlatma Hakkında Bilmeniz Gereken Her Şey

Diş sağlığınızı korumak ve daha estetik bir gülüşe sahip olmak için ihtiyacınız olan her şeyi burada bulabilirsiniz. Profesyonel diş bakımı önerilerinden çocuklarda diş sağlığına, estetik diş hekimliğinden modern tedavi yöntemlerine kadar geniş bir yelpazede bilgi sunuyoruz.